¿Dolor en un diente que ya fue tratado?
No siempre hay que sacarlo.
Descubrí cómo conservar tu pieza dentaria, sin dolor y sin vueltas, con el Método de Conservación de tu Diente Original (C.D.O.)
Mis pacientes llegan con dolores insoportables en sus dientes, infecciones y con el malestar de que le dijeron que tiene que sacarse la pieza.
Con C.D.O pasan de dolor e incertidumbre → a función, estética y tranquilidad
Este tratamiento está diseñado especialmente para:
✔ Pacientes con dolor o infección en una pieza dental.
✔ Personas que desean salvar su diente y evitar extracciones.
✔ Profesionales ocupados que no tienen tiempo para ir muchas veces al dentista.
No es para:
✖ Personas que buscan lo más barato sin evaluar calidad.
✖ Pacientes sin intención de comprometerse con un tratamiento serio.
✖ Casos donde la pieza ya no puede salvarse (aunque esto se define en la primera consulta).
Recuperá tu sonrisa y función, sin perder tus dientes. Con una solución definitiva para infecciones o tratamientos deficientes.
Método C.D.O
Método de Conservación de tu Diente Original
Leonardo combina su experiencia en endodoncia + rehabilitación + visión estética funcional en un solo plan integral.
Leonardo realiza todo el tratamiento de principio a fin (tratamiento periodontal, tratamiento de conducto, rehabilitaciónes, coronas), evitando derivaciones.
Aplica técnicas conservadoras y modernas que priorizan salvar la pieza.
Utiliza herramientas innovadoras con una visión estética y funcional.
“En una sola sesión se puede salir sin dolor y con una pieza provisoria funcional.”
BENEFICIOS
- Tratamiento conservador: se prioriza salvar la pieza
- Sin derivaciones, sin vueltas
- Corona provisoria funcional en la primera sesión
- Corona definitiva de alta estética
Tipo de Anestesia
Local. No hay ningún tipo de dolor.
Duración
50 minutos
Tipo de procedimiento
Ambulatorio
Recuperación
Inmediata
SOBRE MI
Lo que hago es simple: ayudo a pacientes con dolor o problemas complejos a salvar sus piezas dentales naturales, incluso cuando otros profesionales ya les habían dicho que no había más nada por hacer.
Y lo hago con un enfoque que evita las derivaciones, los rodeos y las soluciones apuradas.
Mi método C.D.O (Conservación de tu Diente Original) está diseñado para tratar desde el origen el problema del paciente, ya sea una infección, una fractura o una falla en un tratamiento anterior.


Método de Conservación de tu Diente Original (C.D.O)
Leonardo combina su experiencia en endodoncia + rehabilitación + visión estética funcional en un solo plan integral.
Un método probado para salvar tu pieza.
ETAPAS QUE VAMOS A RECORRER JUNTOS
Evaluación personalizada
Tratamiento de conducto
Rehabilitación oral
Seguimiento post tratamiento
¿Qué recibís con el Método C. D. O.?
EL RESULTADO QUE VAS A LOGRAR
Alivio del dolor y control de la infección
Conservación de la pieza natural
Sonrisa estética y funcional
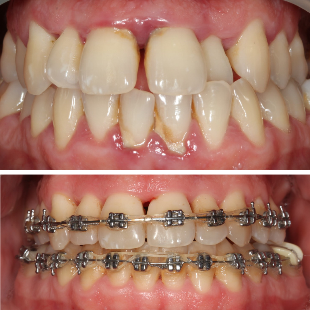
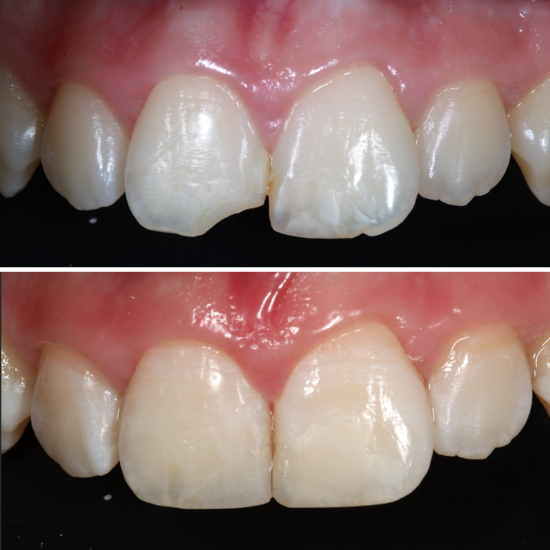
CASOS DE ÉXITO
Estas personas pasaban por la misma situación que vos y hoy pueden disfrutar de nuevo






CONSULTA PRESENCIAL
Para reservar tu lugar tocá el botón.
En esta primer consulta te asesoraré y te explicaré el paso a paso para resolver tu problema.
CONSULTA VIRTUAL
Si necesitás mayor comodidad para la primera cita, elegí la opción de CITA VIRTUAL.
⚠️
CUPOS LIMITADOS
Leonardo solo atiende pacientes particulares y sin sobrecarga de turnos.
¡Te bonificamos el 100% de la consulta inicial abonando el procedimiento en nuestra primera cita!
Agendando tu cita desde esta página en las próximas 24hs:
Además de bonificarte la consulta inicial, recibís:
Bonus 1: Blanqueamiento sin cargo (Valuado en 150 USD)
Bonus 2: Control post-tratamiento sin cargo.
SOLO LOS PRIMEROS 5 PACIENTES DEL MES
GARANTÍA
Si no estás 100% satisfecho con el resultado estético y funcional, ajustamos el tratamiento sin costo adicional, hasta que lo estés.
Dr. Leonardo Castrol, comprometido con la excelencia en odontología conservadora, respaldado por la satisfacción y testimonios de nuestros pacientes.
Todos los tratamientos se realizan exclusivamente en centros de máximo prestigio y con mayor seguridad a nivel nacional.
Tocá el botón de abajo y reservá una consulta personalizada con Leonardo. Cuanto antes empieces, más chances hay de salvar tu diente.
PREGUNTAS FRECUENTES
No. (Aplico procedimientos mínimamente invasivos priorizando un tratamiento eficaz, seguro bajo anestesia local) Trabajo con técnicas mínimamente invasivas y anestesia local. Vas a sentir alivio, no dolor.
Muchos pacientes llegaron así y hoy siguen con su pieza. Evaluamos antes de tomar decisiones definitivas.
En la primera sesión solucionamos el problema (y planificamos juntos cual es el mejor tratamiento para seguir adelante), la infección. Si hay que hacer el tratamiento endodóntico, se lo hará en esa misma sesión con su posterior reconstrucción y colocamos una corona provisoria. Luego se realiza la definitiva.
Ofrezco una solución completa en menos sesiones y sin intermediarios. También podés financiar en cuotas.
- 1161950526
- 1161950526
- info@lcodontologia.com.ar
- Talcahuano 1133 DTO. 4A. CABA.
- Realizá tu consulta para eliminar tus dudas o para solicitar un turno. No se envía información de precio o presupuesto. Esta información se otorga luego de la consulta.
Dr. Leonardo Castro. 2025 – Todos los Derechos Reservados